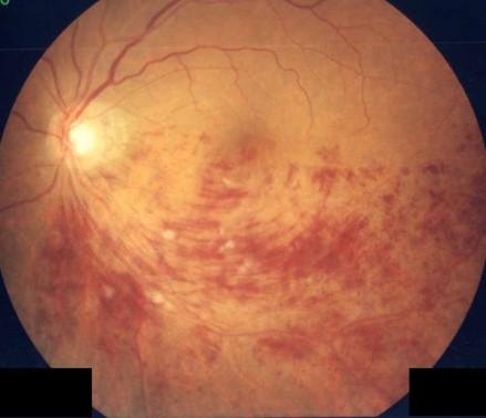
網膜静脈閉塞症とは
身体の中のあらゆる部位と同様に、網膜にも血管があり、酸素の豊富な血液を送り届ける網膜動脈と、使い終わった血液を眼球の外に送り出す網膜静脈があります。このうち網膜静脈の方が、交差する網膜動脈からの圧迫や血栓等で閉塞する病気が網膜静脈閉塞症です。これは以下の2種類に分けられます。
①網膜中心静脈閉塞症: 網膜静脈の総出口の部分で閉塞し、網膜全体が浮腫む。
②網膜静脈分枝閉塞症: 網膜静脈の一部の枝が閉塞し、その部分が浮腫む。
いずれにしても閉塞部の上流にある毛細血管から血液成分が染み出し、網膜のむくみ(浮腫)や出血を引き起こします。そしてこれが網膜の中心である黄斑に及ぶと、急激に視力が低下します。

網膜静脈閉塞症の診断・治療方針について
・診断: 眼底所見が特徴的なので、多くの場合は視力や眼底検査、光干渉断層計(OCT)のみで診断可能です。網膜の血液循環が悪化しているために網膜の細胞が酸欠(虚血型といいます)になっているか否かを知るために、光干渉断層血管撮影(OCTA)や蛍光眼底造影検査(この場合は連携病院にて検査)を行う場合があります。
・治療: 黄斑浮腫で視力低下を起こしていなければ、血流改善を促す内服薬などを服用していただき、経過観察をする場合が多いです。黄斑浮腫を起こしている場合は、主に以下3つの治療法があります。
①抗VEGF薬の眼内注射: 加齢黄斑変性と同様に行います。視力低下の直接の原因である黄斑浮腫を速やかに改善させるものです。
②ステロイド薬の後部テノン嚢下注射: 眼球内ではなく、白目の表面の粘膜の下から眼球の壁に沿って眼球の後方に届くように注射を行います。抗VEGF薬よりやや緩徐に効きます。
③網膜光凝固(眼底レーザー照射): 上記2つの治療が効きにくかったり、諸事情でできない場合に行います。また上記「診断」の項で述べた「虚血型」の場合には、「網膜新生血管」と呼ばれる異常な血管が眼球内に生じ、眼球内に出血したり緑内障を生じる恐れがあることから、網膜新生血管の発生を予防する目的で網膜光凝固を行う場合もあります。
※網膜静脈分枝閉塞症+黄斑浮腫の眼に抗VEGF注射を行った治療前(矯正視力0.4)と治療後(矯正視力0.9)のOCT画像