糖尿病網膜症・黄斑症

糖尿病網膜症とは

平成30年度の厚生労働白書によれば、日本国内の「糖尿病が強く疑われる者」と「糖尿病可能性を否定できないもの」の推計は各々約1千万人(合計2千万人)とされ、平成9年度の各々約690万人(合計1370万人)から比べると、近年急激に増加していることが分かります。一般的に糖尿病になってから8~10年以上経過すると糖尿病網膜症を発症する可能性があり、15年経つと約40%の方に発症するとされています。そして現在の推計では日本国内におよそ300万人の糖尿病網膜症患者がいて、毎年約3000人が網膜症の為に失明しており、緑内障とともに中途失明の主要な原因疾患となっています。
糖尿病に罹ると毛細血管が脆く傷みやすくなります。眼球は精密機械のようなもので、特に網膜には細かい血管が密集しています。糖尿病で長期に渡り血糖値が高い状態が続くと、それらの血管が脆くなって、出血したり水漏れしたり、更に網膜浮腫(むくみ)が生じる場合があります。網膜の血管障害や浮腫が強くなると、網膜に酸素や栄養が行き渡らなくなります。更に広い範囲で血管が閉塞してしまうと、それを補おうと新生血管が現れます(増殖性網膜症)。しかしその血管は助けにはならず、かえって出血を助長し、放置すれば失明に至ります。

 

糖尿病黄斑症とは

糖尿病網膜症による網膜のむくみ(網膜浮腫)が網膜の中心部分である黄斑に生じると、網膜静脈閉塞症のような黄斑浮腫を生じ、著しく視力が低下します。この状態を特別に糖尿病黄斑症と呼んで区別していますが、これは黄斑症が無い糖尿病網膜症とは治療のアプローチが異なるためです。糖尿病黄斑症は糖尿病網膜症の重症度にかかわらず、軽症であっても発症しえますし、逆に重症の増殖性糖尿病網膜症でも黄斑症が無い場合もあり得ます。視力障害に直接かかわることが多いため、この状態(黄斑症)の有無は、患者さんの生活の質(Quality of Life)に深く関係します。

糖尿病網膜症・黄斑症の診断・治療方針について

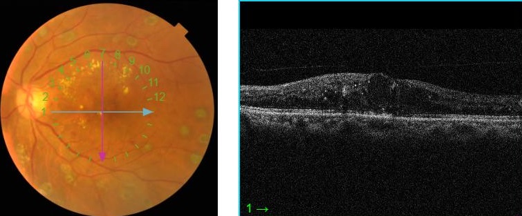
・診断: 

眼底検査、眼底写真撮影、光干渉断層計(OCT)光干渉断層血管撮影(OCTA)診断可能です。時に蛍光眼底造影検査(この場合は連携病院にて検査)を行う場合もあります。
糖尿病網膜症には、軽症~中等症に相当する単純糖尿病網膜症(国際分類では軽症・中等症非増殖網膜症)、やや重症に相当する増殖前糖尿病網膜症(国際分類では重症非増殖網膜症)と、重症に相当する増殖糖尿病網膜症(国際分類増殖網膜症)という重症度分類があります。眼底検査での所見や、OCTA、時に蛍光眼底造影検査を駆使して総合的に重症度を判定いたします。
糖尿病黄斑症に関しては、主に眼底検査とOCT検査で診断致します。浮腫の原因となっている異常な毛細血管のこぶ(毛細血管瘤)が網膜のどの部位に存在するのかといったことも、治療に関わる重要な判断材料なので、詳細な検査が望ましいです。

・治療: 

単純糖尿病網膜症の段階では、黄斑症がない限り原則的に内科的治療のみであり、血糖値改善に努めつつ、眼科的には眼底検査、眼底写真撮影、光干渉断層計(OCT)光干渉断層血管撮影(OCTA)診断可能です。時に蛍光眼底造影検査2カ月~半年ごとの経過観察をいたします。前増殖糖尿病網膜症に進展した場合は、網膜新生血管予防のために網膜光凝固(眼底レーザー治療)を選択することがあります。そして既に増殖糖尿病網膜症まで進展している場合は、網膜光凝固に加えて硝子体手術治療を選択せざるを得ない場合があります。いずれにしても糖尿病網膜症の治療は眼科の他の病気の治療と異なり、長く根気を要するものです。治療してすぐに見やすくなるようなものではないので、当院では治療のメリットとデメリットをしっかり説明の上、行ってまいります。

黄斑浮腫、すなわち糖尿病黄斑症が生じて視力が低下した場合には、まず抗VEGF薬という、眼の中の局所ホルモンを抑える薬剤を眼球内に注射する治療を行います。注射に用いる薬剤が比較的高額なのですが、高額療養費制度により、患者様の所得に応じて支払限度額というものがございますので、限度額適用認定証等について、ご加入の健康保険組合等にお問い合わせください。この治療は1か月~数か月ごとに繰り返し行っていく必要がありますが、治療頻度は人によって様々です。当院では各々の患者様に最適で十分かつ最小限の通院・治療頻度を実現するために、経過が順調であれば徐々に治療頻度とともに通院頻度まで減らしていく、Treat and Extendという方法を主に採用しております。この抗VEGF治療を繰り返し行っていくと、黄斑症のみならず眼底全体の糖尿病網膜症も徐々に改善していく可能性があります。

抗VEGF薬が効きにくい場合や、その他特別な事情で注射ができない場合は、網膜内に血管からの水漏れを起こしている原因箇所である毛細血管瘤や黄斑の周囲を網膜光凝固(眼底レーザー)治療で潰していく方法を選択する場合があります。また網膜静脈閉塞症の項でも述べました、ステロイド後部テノン嚢下を行う場合もあります。いずれもメリットとデメリットが生じえる治療ですので、その点をしっかりとご説明して行ってまいります。