網膜前膜とは

眼球の中身には硝子体と呼ばれるコラーゲン主体のゼリー状物質があり、若いころ(10~20歳代)には眼球の内容をほぼ満たしていて、硝子体と網膜はほぼ接着しています。しかし年齢による変化に伴い、硝子体は徐々に縮んでいき、網膜の表面から外れていきます。その際、網膜の中心部分である黄斑部で硝子体と網膜の接着が比較的強い人の場合、硝子体の一部を網膜の表面に残したまま硝子体の本体が網膜から外れてしまう場合があります。
黄斑部で網膜に接着したまま残った硝子体は、その後徐々に収縮し、網膜の表面に皺を作ったり、黄斑の網膜を変形させてしまうことがあります。そうなるとものが歪んで見えるようになったり、視界の中心部分が見づらくなり、徐々に視力が低下していきます。
この病気で失明に至ることは稀ですが、悪化を止めるために硝子体手術でこの膜を取り除く治療が必要なケースがあります。この手術により多くの場合視力が改善しますが、「歪んで見える」などの症状が完全に消えるわけではないので、手術を予定する際には硝子体手術によるメリットを見極めてそれが大きいときに手術を選択するべきと考えます。当院では患者様の状態に合わせて個別によく相談したうえでこの手術を提供いたします。
網膜前膜の診断・治療について
この病気の診断は、眼底検査と光干渉断層計(OCT)検査で容易に可能です。治療は現在のところ、手術以外にはありません。手術は、硝子体茎離断術という方法で行います。黒目と白目の境界から3~4mm白目側の位置に4か所小さな穴をあけ、眼球の中にある硝子体を特殊な器具で取り除き、次いで黄斑部に張った網膜前膜を特殊なピンセットで慎重に取り除きます。顕微鏡で眼球の中を覗きながら行う、非常に繊細な作業です。50歳代以降の方には、この手術を安全に効率よく行うために、白内障手術を同時に行うことをお勧めいたします。
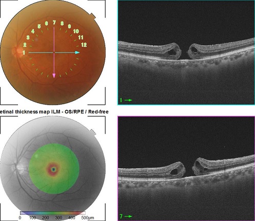
黄斑円孔とは
網膜前膜についての説明にあったように、眼球の内容の大半は硝子体と呼ばれるコラーゲンを含んだゼリーがあり、若いころ(10~20歳代)には眼球の中をほぼ満たしています。しかし年齢による変化に伴い、硝子体は徐々に縮んでいき、網膜の表面から外れていきます。その硝子体が縮んで網膜表面から外れるとき、網膜の重要な中心部分(黄斑)に穴が開いてしまうことがあります。こうなると急に視野の中心が見えづらくなり、視力が低下します。硝子体手術で黄斑円孔の周囲にある「内境界膜」と呼ばれる厚さ約5マイクロメートルの非常に薄い膜をある程度の範囲取り除いて眼球の中身を空気に入れ替え、手術後数日間なるべくうつ伏せで寝てもらうと、大半のケースで黄斑円孔が閉じます。黄斑円孔が出来てから数か月が経ってしまうと、せっかく手術がうまくいっても視力があまり改善しなくなってしまいますので、早期の手術をお勧めいたしますが、これについても当院では患者様によく状態を説明した上で、ご相談して最終的な治療方針を決めております。
黄斑円孔の診断・治療について
診断は大抵の場合、眼底検査とOCT検査で容易に可能です。治療は現在のところ、手術以外にはありません。手術は、硝子体茎離断術という方法で行います。黒目と白目の境界から3~4mmの位置に4か所小さな穴をあけ、眼球の内容の大半を満たしている硝子体を特殊な器具で取り除き、次いで黄斑円孔の周囲の網膜表面の「内境界膜」という薄い膜を特殊な細いピンセットで取り除きます。そして眼球内を空気あるいは1週間以上かけて少しずつ抜けていく特殊なガスに置換します。顕微鏡で眼球の中を覗きながら行う、非常に繊細な作業です。50歳代以上の方には、この手術を安全に効率よく行うために、白内障手術を同時に行うことをお勧めいたします。